Jan 19, 2017

Delaying Dementia

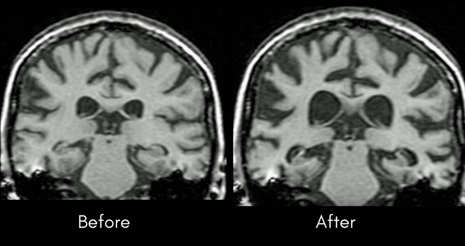
When a person has Dementia, one of the changes that occurs over time is that the size of a person’s brain decreases as brain cells die.

“Dementia is one of the most important public health problems facing the world,” says Professor Nick Fox, a neurologist from the University College London.

To put the magnitude of the problem into perspective, Prof Fox explains that “every child born in London in 2016, has a worse than one in three chance of developing Dementia”. This can also be applied to any country with an ageing population.

In Australia, there are more than 1800 new cases of dementia every week. It is estimated that by 2050, there will be 900 000 people with Dementia.

Dr Claudia Cooper, a consultant at Camden NHS Trust, explains that there is a number of factors that can delay Dementia, “when you get people to do things including optimising their diet and getting them to do exercise, then all those things work together to help to delay Dementia”.

It is generally agreed upon that diet plays a huge factor is delaying the onset Different diets may also hold the key. “There is research out there that shows that people that have, for example, Mediterranean diet, seem to be less likely to get Dementia,” she says.

It should be noted that healthy living and eating can only delay the onset of Dementia, it does not prevent you from getting it. There is currently no cure or even a drug that slows it down.

However, diagnosis rates are up and there is more awareness for the condition now. While there is research being done in drug developments, the main focus is to improve the lives of those with Dementia.

Video: Dieting to delay dementia – BBC London

 

Leave a Reply

Your email address will not be published. Required fields are marked *

Advertisement
Advertisement
Advertisement

But You Don’t Look Like You Have Dementia

Last year Kate Swaffer, the Chair and CEO, and a co founder of Dementia Alliance International, was maliciously accused not having dementia, to the point of feeling bullied by a reporter into disclosing decades of private, confidential and very personal medical to strangers and lawyers, and providing two highly confidential medical documents to the reporter.... Read More

5 Ways to Improve Your Sleep Quality

One of the biggest sleep-related myths is based upon a misunderstanding of the relationship between age and sleeplessness. People commonly believe that sleeping difficulties occur as a direct result of the aging process. Notably, researchers have found that the aging process may actually be accelerated by poor sleep. Below is a look at the link between sleep... Read More

Julie Collins retains Labor’s Aged Care portfolio

  Julie Collins MP will continue in Labor’s Shadow Cabinet as the Shadow Minister for Ageing and Seniors, while Ged Kearney has been appointed Shadow Assistant Minister for Aged Care. Ms Collins has also been appointed Shadow Minister for Women. “I thank Anthony Albanese for the opportunity,” said Ms Collins in a statement. “The next... Read More
Advertisement